ERA is proud to present the ERA Long-Term Strategic Plan launched at ERA25 titled "Leading the Way in Kidney Health: Innovation, Inclusion, Impact".
NDT Kidney Art Gallery
Welcome to NDT's Kidney Art Gallery
Welcome to NDT’s Kidney Art Gallery, a captivating visual journey into the intricate world of the kidneys!
This collection of stunning images submitted by NDT’s most creative readers and artists offers a unique glimpse into the complex structures and functions of the kidneys, showing the remarkable interplay of form and function in these vital organs. We invite you to explore the fascinating realm of the kidneys and see kidney health and disease from a new perspective.
Selected images will appear on the covers of NDT:
12/112 elements
Author: Maria Camila Bermudez, USA
Drawing
Info: Monarch meets kidney: “Spring” inspired vision of hope in kidney health. Where renewal takes flight. Technique: Watercolour
From: Maria Camila Bermudez, USA
Author: Sandra Rayego Mateos, Spain
Advanced microscopy
Info: Representative image of glomeruli from APOE knockout mice after 10 weeks of high fat diet exposure.
Green staining indicates the mesangial marker GATA3, red staining the endothelial marker CD31, and blue staining the nuclear marker DAPI.
From: Sandra Rayego Mateos, Spain
Author: Maria Teresa Sciarrone Alibrandi, Italy
Kidney imaging
Info: Outside-in fistulization in ADPKD: a trivial lumbar skin lesion progressed into a 14-cm deep tract traversing abdominal wall planes to pararenal fascia and psoas, without renal communication. Sterile cultures belied aggressive spread. MRI exposed the full extent, highlighting an unrecognized connective tissue fragility as an important determinant of disease behavior.
From: Maria Teresa Sciarrone Alibrandi, Pierpaolo Bianca, Rodolfo Fernando Rivera, Italy
Author: Zeynep Ural, Türkiye
Drawing
Info: “Growing with the Kidneys She Heals“. Drawn by Zehra İnci Ural (age 5). The nephrologist mother embraces the kidneys coming to her for help, offering symbolic gifts of healing. As the kidneys grow healthier, the mother herself grows taller, stronger, and more radiant, a child’s vision of a healer’s transformation.
From: Zehra İnci Ural (age 5), Türkiye
These are not the original drawings but are the AI-assisted enhanced versions. All edits preserve the child’s authentic lines, colors, and artistic intent.
Author: Zeynep Ural, Türkiye
Drawing
Info: “A Child’s View of Her Nephrologist Mother’s World“. Drawn by Zehra İnci Ural (age 5), portraying how a child imagines her nephrologist mother’s kidney world. artwork depicts two kidneys expressing love and gratitude toward the nephrologist who helps them heal. A small child sits quietly below, watching the kidneys thank her mother, reflecting the humanistic, emotional side of kidney care through a child’s eyes.
From: Zehra İnci Ural (age 5), Türkiye
These are not the original drawings but are the AI-assisted enhanced versions. All edits preserve the child’s authentic lines, colors, and artistic intent.
Author: Chaitali Umesh Hambire, India
Drawing
Info: “Genesis in Color: Renal Echoes of Human Becoming”
From: Chaitali Umesh Hambire, India
Author: Chaitali Umesh Hambire, India
Digital art
Info: “A Rosette of Renewal”
From: Chaitali Umesh Hambire, India
Author: Jürgen Floege, Germany
Drawing
Info: “They never come back…” painting
From: Jürgen Floege, Germany
Author: Mayleen Laico, The Philippines
Digital art
Info: “Kidney Love” depicts the human side of kidney disease.
From: Mayleen Laico, The Philippines
Author: Maria Camila Bermudez, USA
Drawing
Info: Blooming glomerulus. Technique: watercolor
From: Maria Camila Bermudez, USA
Author: Maximilian Schindler, Germany
Advanced microscopy
NDT Cover, May 2026
Info: Embracing Podocyte: A podocyte embracing the capillary, safeguarding the glomerular filtration barrier in the mouse kidney. Slit diaphragm: Nephrin – Magenta, Primary processes: Acetylated Tubulin – Cyan, Podocyte Nuclei: Dach1 – Yellow, All Nuclei – Gray.
From: Maximilian Schindler, University Medicine Greifswald, Germany – Endlich Lab
Author: Mayleen Laico, The Philippines
Digital art
Info: In Full Bloom: Transplantation in Spring
From: Mayleen Laico, The Philippines
Author: Yaoxian Xu, Turgay Saritas and Rafael Kramann, Germany
Cells & organoids
Info: This image shows a chemotherapy drug, cisplatin – induced Acute Tubuloids Injury. Adult human kidney tubuloids exhibited a high expression of kidney injury molecule 1 (KIM-1) following 24h cisplatin treatment. Red colour in confocal image indicates KIM-1, green is E-cadherin (CDH1) staining, blue is DAPI.
From: Yaoxian Xu, Turgay Saritas and Rafael Kramann, Germany
Author: Anya Arora, USA
Drawing
NDT Cover, April 2026
Info: Watercolour interpretation of a scanning electron micrograph of a podocyte, based on Figure 2 from the article Cell biology of the glomerular podocyte (2003).
From: Anya Arora, USA
Author: Vishal Ramteke, India
Drawing
NDT Cover, January 2026
Info: The Beauty of Complexity: Mandala with coffee splash art in the kidneys show the intricate yet beautiful network of nephrons and vessels brewing the homeostasis that sustains life.
From: Vishal Ramteke, Max Super speciality Hospital, Nagpur, India
Author: Rashmi Philpose, India
Drawing
Info: Painting titled “Gross to histo through paint”
From: Rashmi Philpose, India. Resident at UAMS, Arkansas, USA.
Author: Charu Jain, USA
Drawing
Info: Acrylic painting of a kidney entwined by the wisteria plant. The image symbolizes resilience and vulnerability: the kidney, a vital yet delicate organ, is shown intertwined with nature, suggesting both the burden of disease and the possibility of renewal through growth and healing.
From: Charu Jain, USA
Author: Estela Mas Ródenas, Spain
Drawing
NDT Cover of Supplement, February 2026
Info: “The Blooming Glomerulus“. Oil on canvas.
From: Estela Mas Ródenas, Spain
Author: Estela Mas Ródenas, Spain
Drawing
Info: “Sunset Through the Kidneys”. Acrylic on canvas.
From: Estela Mas Ródenas, Spain
Author: Reina Lynn Antonio, Philippines
Drawing
Info: Flowers and Kidney. Color Pencils on Black Board. Size: 15” x 10”. “This is part of my organs and flowers series, which I started painting in March, 2020, just prior to the covid 19 pandemic. I was planning to decorate the bare walls of our clinic (as I share it with other doctors) with the framed paintings of the organs that would represent our subspecialities eg kindey (nephrologist), heart (cardiologist), lungs (pulmonologist) and thyroid (endocrinologist).
But pandemic came, and I did more than these four pieces due to the quarantine. Since then, I have been gifting friends, mentors and other colleagues as token of appreciation with their subspecialty “organ” and their favorite flowers (or fruit) in mind.”
From: Reina Lynn Antonio, Philippines
Author: Reina Lynn Antonio, Philippines
Drawing
NDT Cover, October 2025
Info: Dialysis Machine. Color Pencils on Black Paper. “I wrote an article/story about a newly diagnosed young esrd patient, who is about to undergo initiation of her dialysis treatment. While waiting for her turn, she encountered other dialysis patients in the waiting room of a free standing HD unit, where these patients somehow calm her anxiety and made her accept her fate as each told their stories why they end up doing dialysis and what lessons they wanted to share with others. The article was meant to teach and also, to give hope to those on this life long treatment. Having others share the same experience somehow gave hope and assurance that there is still something good to look forward to. So, I made a dialysis machine with these colorful flowers. To look at it in a different way.”
From: Reina Lynn Antonio, Philippines
Author: Reina Lynn Antonio, Philippines
Drawing
Info: The young replacement. Color Pencils on Black Paper. “In my mind (as an artist), a kidney transplabt would involve old, worn-out native kidneys being represented as retiring elderly workers who, for whatever reason, are unable to fulfill their obligations anymore to their boss or company or customers. A newly hired employee would then be employed to relieve them of their work or unburden them of their tasks, hence, they are happier.”
From: Reina Lynn Antonio, Philippines
Author: MS Kölblgasse, Austria
Drawing
NDT Cover, August 2025
Info: The ERA, in collaboration with the Austrian Society of Nephrology, launched an educational initiative in Vienna schools for children aged 10–13 to raise awareness about kidney health. In May 2025, Austrian nephrologists led interactive 2-hour sessions in two classes at each of three Vienna schools, featuring live sonography demonstrations, an art workshop, and a quiz challenge. Selected student artworks were exhibited at the ERA Congress, where each school received a €1,000 grant for educational projects.
From: MS Kölblgasse, 2B
Author: Miller Habib, USA
Digital art
Info: Nephrology draws upon a myriad of individuals. From the hospital to the patient, the care in this study is evident. The work “Kidney Care,” captures this aspect. A deconstructed kidney is vibrantly depicted to form a heart. It shows that the passion and union that comprise this specialty are found in the organ, which it studies.
From: Miller Habib, USA
Author: Eva Miriam Buhl, Germany
Advanced microscopy
NDT Cover, November 2025
Info: Podocytes, colorized scanning electron microscopy image
From: Eva Miriam Buhl, Institut für Pathologie, Universitätsklinikum Aachen
Author: Tan Li, China
Kidney imaging
NDT Cover, September 2025
Info: Ultrasound and ultrasound localization microscopy of acute kidney allograft rejection
From: Tan Li, China
Author: Chaitali Umesh Hambire, India
Drawing
Info: “Nephronic Bloom: The Vascular Symphony of the Glomerulus” is a vibrant anatomical watercolor that reimagines the renal glomerulus as a blooming, organic form. Radiating with vivid hues of pink, green, blue, and orange, the piece captures the structural complexity and elegance of kidney filtration. With its symmetrical layout and stylized depiction of vascular tufts, this artwork blends scientific precision with artistic expression, symbolizing the delicate harmony of form and function in human physiology.
From: Chaitali Umesh Hambire, India
Author: Eva Zeine, Germany
Digital art
NDT Cover, February 2026
Info: Columba Nephra on multiplex (orange: Synaptopodin, blue: DAPI, purple: CD31, yellow: SCL12A1)
From: Eva Zeine, Germany
Author: Stephanie van Impe, Belgium
Drawing
Info: Vital Flow
From: Stephanie van Impe, Belgium
Author: Juliane Hermann, Germany
Digital art
Info: The image of a mouse kidney illustrates the spatial distribution of three molecular signals, each specific to different compartments. This visualization demonstrates the ability of MALDI mass-spectrometry to capture the molecular topography within the kidney structure at high resolution, thus providing insights into the spatial organization of different biomolecular components.
From: Juliane Hermann, Germany
Author: Chaitali Umesh Hambire, India
Digital art
Info: Blue Filter
From: Chaitali Umesh Hambire, India
Author: Chaitali Umesh Hambire, India
Digital art
Info:
Palette of purification
From:
Chaitali Umesh Hambire, India
Author: Chaitali Umesh Hambire, India
Digital art
Info:
Nephron symphony
From:
Chaitali Umesh Hambire, India
Author: Chaitali Umesh Hambire, India
Digital art
Info:
Filters for life
From:
Chaitali Umesh Hambire, India
Author: Mayleen Laico, Philippines
Digital art
NDT Cover, December 2025
Info:
The title is “Carbon Footprints in Kidney Care”. It mainly expresses the need for our awareness in helping to preserve our environment while taking care of patients with kidney disease.
From:
Mayleen Laico, Philippines
Author: Maria Camila Bermudez, USA
Digital art
NDT Cover, July 2025
Info:
Kidney in watercolors
From:
Maria Camila Bermudez, USA
Author: Anil Kumar Saxena, Dubai
Digital art
Info:
This artwork presents a stylized representation of glomeruli in an abstract, minimalistic form. Bright red strokes evoke the intricate vascular structures, swirling dynamically against a dark background.
The fluidity of the curves, contrasted with sharp lines, symbolizes the delicate balance of function and form in the microscopic kidney filters.
From:
Anil Kumar Saxena, Dubai
Author: Anil Kumar Saxena, Dubai
Digital art
Info:
The artwork represents an abstract depiction of an inflamed podocyte, which is a type of cell in the kidney involved in the filtration process. The vibrant red, yellow, and orange tones symbolizes inflammation.
From:
Anil Kumar Saxena, Dubai
Author: Anil Kumar Saxena, Dubai
Digital art
Info:
The vibrant chaos of life splinters in a flash—dreams splattered across a jagged landscape of shock and despair. The news of the end stage kidney disease and dialysis dependence pierces the soul like molten streaks, crimson and gold, swirling with the black void of uncertainty. The delicate balance shattered, leaving veins of hope entangled in dark realization.
Yet within the turbulence, the fight begins; the will to endure finds form among the chaos, weaving fragile, glistening strands of resilience.
From:
Anil Kumar Saxena, Dubai
Author: Anil Kumar Saxena, Dubai
Digital art
Info:
This vivid artwork symbolizes the relentless work of the glomeruli, filtering blood day and night. The swirling blues, pinks, and reds mirror the constant flow of life, with each curve and wave representing filtration, absorption, and secretion. The abstract forms convey the ceaseless activity within the kidneys, their colors reflecting oxygenated and deoxygenated blood, symbolizing balance and rhythm.
It is a tribute to the glomeruli’s tireless duty in sustaining life’s inner harmony.
From:
Anil Kumar Saxena, Dubai
Author: Anil Kumar Saxena, Dubai
Digital art
Info:
The fetus nestled within the Renal outline radiates an ethereal glow, symbolizing hope born from adversity. It is a testament to the miracle of creation, where, even in the shadow of illness, the promise of renewal prevails. The swirling hues reflect the turbulence and warmth of this journey—a vivid gesture of survival, defying limits with grace. “Germination” embodies the profound triumph of life against the odds, where resilience blossoms within the most fragile vessel. (Inspired by the real-life experience when a young lady with ESRD due to lupus nephritis on dialysis delivered a healthy baby through C-section)
From:
Anil Kumar Saxena, Dubai
Author: Lars Koch & Gabriela Jiang, Germany
Digital art
NDT Cover, March 2026
Info:
The proposed cover art shows an abandoned moon landscrape with several craters representing kidney tubuli. Aliens are moving in their spaceships, representing myofibroblasts, in between the craters (in the interstitium) and fire around extracellular matrix. The cover art aims to explain basic principles of kidney fibrosis in an engaging way.
From:
Lars Koch & Gabriela Jiang, Germany
Author: Nuno Moreira Fonseca & David Navarro, Portugal
Urine & urine microscopy
Info:
Struvite crystals, bacteria and leucocytes (phase contrast, 400x)
From:
Nuno Moreira Fonseca & David Navarro, Portugal
Author: Nuno Moreira Fonseca & David Navarro, Portugal
Urine & urine microscopy
Info:
Monohydrate calcium oxalate crystals (phase contrast, 400x)
From:
Nuno Moreira Fonseca & David Navarro, Portugal
Author: Nuno Moreira Fonseca & David Navarro, Portugal
Urine & urine microscopy
Info:
Uric Acid Crystals (polarized light, 160x)
From:
Nuno Moreira Fonseca & David Navarro, Portugal
Author: Nuno Moreira Fonseca & David Navarro, Portugal
Urine & urine microscopy
Info:
Uric Acid Crystals (polarized light, 400x)
From:
Nuno Moreira Fonseca & David Navarro, Portugal
Author: Taner Çamsarı, Türkiye
Sculpture
Info:
Kidney sculpture made of granite, copper, olive wood and Judas tree wood
From:
Taner Çamsarı, Türkiye
Author: Mayleen Laico, Philippines
Digital art
Info:
The title is “Celebration”. Celebrating small victories in kidney care.
From:
Mayleen Laico, Philippines
Author: Swetha Sriramoju, USA
Drawing
Info:
Artwork entitled, Gross Anatomy of Kidneys, was drawn in oil pastel to illustrate studying the anatomy of the kidneys.
From:
Swetha Sriramoju, USA
Author: Oliver Kretz, Germany
Digital art
NDT Cover October 2024
Info:
Nephros – panta rhei
From:
Oliver Kretz, Hamburg, Germany
Author: Anil Kumar Saxena, Dubai
Digital art
NDT Cover April 2025
Info:
A Beautiful Family of Glomeruli
From:
Anil Kumar Saxena, Dubai
Author: Nisrine Bennani Guebessi, Morocco
Histology
Info:
The image displays glomerular capillary lumens filled with large lymphomatous cells, indicative of intravascular large B-cell lymphoma. Masson’s trichrome stain at 200x magnification.
From:
Nisrine Bennani Guebessi, Morocco
Pathologist and Professor of pathology, department of pathology CHU IBN ROCHD, Casablanca
Author: Ailene Buelva-Martin, Philippines
Drawing
Info:
The Golden Kidney Tree. Acrylic on canvas with gold foil.
From:
Ailene Buelva-Martin, Philippines
Author: Mayleen Laico, Philippines
Drawing
Info:
The title of the painting is “Stained”. It is inspired by the immunoflourescent staining of glomeruli done in the histopathologic evaluation of glomerular disease.
From:
Mayleen Laico, Philippines
Author: Nicole Endlich, Germany
Advanced microscopy
Info:
Human glomerulus (podocin in green, synaptopodin in magenta)
From:
Nicole Endlich, Germany
Author: Maximilian Schindler, Germany
Advanced microscopy
NDT Cover August 2024
Info:
This confocal image shows a cryosection of a larval zebrafish glomerulus at 5 days post fertilization. The endogenously expressed eGFP under control of the nphs2 promotor labels podocytes in green, including the major processes. Magenta depicts the glomerular endothelial cells with an antibody against Ehd3.
From:
Maximilian Schindler, Germany
Department of Anatomy and Cell Biology, University Medicine Greifswald, Nicole Endlich’s Lab
Author: Jeanine Verbeke, Belgium
Drawing
Info:
Aquarelle painting called ‘Care for your Kidneys’.
From:
Jeanine Verbeke, Belgium
Author: Marieta Theodorakopoulou, Greece
Kidney imaging
NDT Cover June 2024
Info:
Combination of (i) immunofluorescence images stained for IgA and (b) renal magnetic resonance angiography images, in a patient with IgA and atherosclerotic renovascular disease (ARVD)
From:
Marieta Theodorakopoulou, Greece
1st Department of Nephrology, Hippokration Hospital, Aristotle University of Thessaloniki, Thessaloniki
Author: Margaux Van Wynsberghe, France
Advanced microscopy
Info:
Glomerulus lover – Representative image showing immunofluorescent staining for nephrin (green), FAK (red) and DAPI (blue) on a piece of human nephrectomy.
From:
Margaux Van Wynsberghe, France
IMRB Inserm U955, Hôpital Henri Mondor
Author: Panagiotis Pateinakis, Greece
Histology
Info:
“Inception”- like, kidney-shaped nephron with a cellular crescent, from a patient with pauci-immune ANCA-associated renal vasculitis
From:
Panagiotis Pateinakis, Greece
Nephrology Department, “Papagergiou” General Hospital
Author: Maria Lambropoulou, Greece
Histology
NDT Cover February 2025
Info:
Kidney histological section in which a glomerulus forming the most iconic symbol of love; a big heart has been discovered in a hematoxylin-eosin slide (negative colors) after a hard day working on microscope
From:
Maria Lambropoulou, Greece
Pathologist & Professor of Histology-Embryology
Medical Department, Democritus University of Thrace, Alexandroupolis
Author: Maria Lambropoulou, Greece
Histology
NDT Cover May 2024
Info:
Kidney histological section in which the “heart” represents collecting tubule (hematoxylin-eosin staining, 200×)
From:
Maria Lambropoulou, Greece
Pathologist & Professor of Histology-Embryology
Medical Department, Democritus University of Thrace, Alexandroupolis
Author: Mayleen Laico, Philippines
Digital art
NDT Cover April 2024
Info:
The Gift of Organ Donation
From:
Mayleen Laico, Philippines
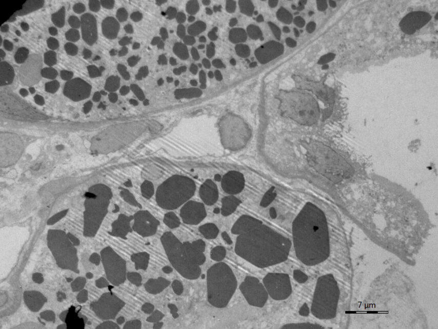
Author: Oliver Kretz, Germany
Electron microscopy
Info:
Transmission electron microscopy image of the murine renal filtration barrier. Random sections of the podocytes are sometimes reminiscent of prehistoric creatures.
From:
Oliver Kretz, Germany
Author: Yaoxian Xu | Rafael Kramann, Germany
Cells & organoids
Info:
Adult human kidney organoids or tubuloids derived from CD24+ stem/progenitor cells. Red color in confocal image indicates E-cadherin (CDH1) staining, blue is DAPI.
From:
Yaoxian Xu and Rafael Kramann, Germany
Institute of Experimental Medicine and Systems Biology, Medical Clinic 2, Faculty of Medicine, RWTH Aachen University.
Author: Yaoxian Xu | Rafael Kramann, Germany
Cells & organoids
Info:
The Figure shows lenti-paired CRISPR-Cas9 gene editing for genetic disease ADPKD modeling in CD24+ derived adult human kidney tubuloids. Red color in Confocal image indicates CD24 staining, blue is DAPI, two cuts in DNA represent lenti-paired CRISPR-Cas9 gene editing in human PKD1 or PKD2 gene, white balloon-like structures represent ADPKD cysts.
From:
Yaoxian Xu and Rafael Kramann, Germany
Institute of Experimental Medicine and Systems Biology, Medical Clinic 2, Faculty of Medicine, RWTH Aachen University.
Author: Mayleen Laico, Philippines
Digital art
NDT Cover January 2025
Info:
Organized Complexity shows the kidney’s complex function yet it is a very organized system
From:
Mayleen Laico, Philippines
Author: Xinyu Dong, USA
Drawing
Info:
A nephrologist, immersed in passion, dances hand-in-hand with proximal tubule cells and podocytes. The dance unfolds on a green kidney, representing the earth, set against a blue cosmos background, symbolizing the nephrologist’s devotion to kidney research.
From:
Xinyu Dong, USA
Nephrology Department, Vanderbilt University Medical Center
Author: Sara Gjeci | Meike N. Leiske | Adrian T. Press, Germany
Advanced microscopy
Info:
Drug delivery system targeting kidney
From:
Sara Gjeci, Meike N. Leiske, Adrian T. Press
University of Jena and Bayreuth, Germany
Author: Marieta Theodorakopoulou, Greece
Histology
Info:
Glomerulus Galaxy – Immunofluorescence images stained for C3 in a patient with lupus nephritis
From:
Marieta Theodorakopoulou, Greece
1st Department of Nephrology, Hippokration Hospital, Aristotle University of Thessaloniki,
Author: Chenyu Li, Germany
Cells & organoids
NDT Cover December 2024
Info:
Immunofluorescence images of cultured urine stem cells (stained for CD133 (red) and CD24 (green), collected from healthy human urine.
From:
Chenyu Li, Germany
Author: Ralph Mohty, USA
Urine & urine microscopy
NDT Cover September 2024
Info:
Red blood cell cast indicating glomerulonephritis in a patient with AntiNeutrophil Cystoplasmic Antibody (ANCA) associated vasculitis
From:
Ralph Mohty, USA
MD MPH Stanford Nephrology
Author: Katharina Artinger, Austria
Advanced microscopy
NDT Cover February 2024
Info:
Love hurts – Heart-shaped glomerulus in a nephritic kidney
Podoplanin – red; Alpha smooth muscle actin – yellow; DAPI – blue.
From:
Katharina Artinger, Austria
Author: Anil Kumar Saxena, United Arab Emirates
Digital art
NDT Cover July 2024
Info:
Focal Segmental Glomerulosclerosis
From:
Anil Kumar Saxena, United Arab Emirates
Chair, Nephrology Division Mediclinic Welcare Hospital Al Gahroud
Author: Barbara Mara Klinkhammer, Germany
Histology
Info:
2,8-Dihydroxyadenine crystals in a rat kidney. PAS stain under polarized light.
From:
Barbara Mara Klinkhammer, Germany
Author: Sara Gjeci | Meike N. Leiske | Adrian T. Press, Germany
Kidney imaging
Info:
Drug delivery system targeting kidney
From:
Sara Gjeci, Meike N. Leiske, Adrian T. Press
University of Jena and Bayreuth, Germany
Author: Monarch Shah, USA
Urine & urine microscopy
Info:
Calcium oxalate monohydrate crystals in a patient with acute kidney injury, many of the dumbbell-shaped type seen under phase contrast and polarized light (Original magnification x400).
From:
Monarch Shah,
Fellow, University of Virginia, USA
Author: Monarch Shah, USA
Urine & urine microscopy
Info:
Calcium oxalate monohydrate crystals in a patient with acute kidney injury, many of the dumbbell-shaped type seen under phase contrast and polarized light (Original magnification x400).
From:
Monarch Shah,
Fellow, University of Virginia, USA
Author: Ruben M Sandoval, USA
Advanced microscopy
Info:
Time projection showing filtration on the surface of a rat kidney acquired using intravital 2-photon microscopy.
A bolus of a small blue dextran appears first in the lumen of the Bowman’s space, proximal tubule lumen, then finally in the cortical collecting duct lumen.
Projection is 300 frames, close to 4 minutes.
From:
Ruben M Sandoval, USA
Indiana Center for Biological Microscopy
Author: Ruben M Sandoval, USA
Advanced microscopy
NDT Cover December 2023
Info:
A chronic kidney disease rat model showing the distribution of albumin (red) acquired in 3D using intravital 2-photon microscopy.
Fluorescent cast material (green) can be seen obstructing the lumen of a distal tubule. The original image was processed to generate a tessellation with seamless borders and natural symmetry.
From:
Ruben M Sandoval, USA
Indiana Center for Biological Microscopy
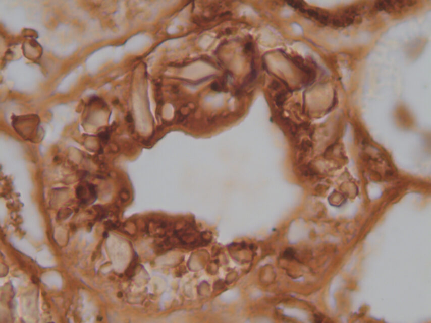
Author: Hélène Fank, Belgium
Electron microscopy
Info:
Electron microscopy confirmed the electron-dense crystalline structures within cytoplasm of proximal tubular epithelial cells
From:
Hélène Fank, Belgium
MD
Author: Hélène Fank, Belgium
Histology
Info:
Immunohistochemistry for kappa light chains was strongly positive within these crystals (b, white arrow)
From:
Hélène Fank, Belgium
MD
Author: Hélène Fank, Belgium
Histology
Info:
Light microscopy (Hematoxylin x400) showing intracellular crystalline inclusions within proximal tubular epithelial cells (a, black arrow)
From:
Hélène Fank, Belgium
MD
Author: Mayleen Laico, Philippines
Digital art
NDT Cover November 2023
Info:
The Greening of Nephrology
From:
Mayleen Laico, Philippines
Author: J. Romero Tafoya, México
Urine & urine microscopy
Info:
Red blood cell cast – brightfield with Sternheimer – Malbin stain
From:
J. Romero Tafoya, México
Author: J. Romero Tafoya, México
Urine & urine microscopy
Info:
Bile cast and hyphae – brightfield with Sternheimer – Malbin stain
From:
J. Romero Tafoya, México
Author: J. Romero Tafoya, México
Urine & urine microscopy
Info:
Red blood cell cast- brightfield with Sternheimer- Malbin stain
From:
J. Romero Tafoya, México
Author: Anil Kumar Saxena
Digital art
Info:
Glomerulus – The ‘Heart’ of the Kidney
From:
Anil Kumar Saxena, United Arab Emirates
MD, FRCP, FASN Chair,
Nephrology Division Medical Director
Author: Reynaldo Noriega Flores, México
Drawing
Info:
Kidney Transplant
Watercolour painting
From:
Reynaldo Noriega Flores, México
Author: Pierre-Emmanuel N'Guetta and Lori O'Brien, USA
Advanced microscopy
NDT Cover October 2023
Info:
This image depicts a postnatal mouse kidney immunostained for the renal arterial tree with alpha-Smooth Muscle Actin (SMA, magenta) and glomeruli with podocin (Nphs2, cyan). Kidney was imaged with a LaVision Ultramicroscope II LightSheet using an Olympus MVPLAPO 2x/0.5 objective, a 2x Zoom, Sheet NA of 0.23, a Z step of 2.0µm and image pixel size of 1.54µm/pixel.
From:
Pierre-Emmanuel N’Guetta, USA
Lori O’Brien, USA
PhD, Assistant Professor
Author: Jay R. Seltzer, USA
Urine & urine microscopy
Info:
Uric acid crystals, under partial polarization – original magnification x400 – from patient with marked volume depletion and AKI
From:
Jay R. Seltzer, USA
MD, Chief of Nephrology
Author: Jay R. Seltzer, USA
Urine & urine microscopy
NDT March cover 2024
Info:
Renal tubular epithelial cell cast – brightfield with prolonged Sternheimer-Malbin staining – original magnification x1000 – from patient with bacterial endocarditis, acute kidney injury, and infection related glomerulonephritis
From:
Jay R. Seltzer, USA
MD, Chief of Nephrology
Author: Jay R. Seltzer, USA
Urine & urine microscopy
NDT Cover September 2023
Info:
Uric acid crystals in urine, under fully polarized light – original magnification x400 – from patient with marked volume depletion and AKI
From:
Jay R. Seltzer, USA
MD, Chief of Nephrology
Author: Jay R. Seltzer, USA
Urine & urine microscopy
Info:
Red blood cell cast – brightfield with Sternheimer-Malbin stain – original magnification x1000 – from patient with hydralazine-induced vasculitis
From:
Jay R. Seltzer, USA
MD, Chief of Nephrology
Author: Tiffany Caza, USA
Drawing
NDT Cover July 2023
Info:
This image demonstrates an abstract view of the transition between a proximal tubule and the thick descending limb of the loop of Henle
From:
Tiffany Caza, USA
MD/PhD, a nephropathologist at Arkana Laboratories
Author: Swetha Kanduri, USA
Urine & urine microscopy
Info:
B: Bright field, dark field and phase contrast image of cluster of calcium oxalate dihydrate crystals surrounding leukocytes
From:
Swetha Kanduri, USA
MD, Assistant Professor of Medicine
Author: Maia Celeste Arbatin, Philippines
Drawing
Info:
Pen and ink sketch
From:
Maia Celeste Arbatin, Philippines
MD FPCP FPSN (#nephgirlsketches)
Author: Maia Celeste Arbatin, Philippines
Drawing
NDT Cover March 2025
Info:
Hydrangea Kidney
From:
Maia Celeste Arbatin, Philippines
MD FPCP FPSN (#nephgirlsketches)
Author: Jeanine Verbeke, Belgium
Drawing
Info:
Kidney Trees
From:
Jeanine Verbeke, Belgium
Author: Dominique Couck, Belgium
Drawing
NDT Cover August 2023
Info:
Drawing for a family gift
From:
Dominique Couck, Belgium
Author: Boonyarit Cheunsuchon, Thailand
Histology
Info:
Eyelash sign in glomerular amyloidosis
From:
Boonyarit Cheunsuchon, Thailand
MD, Associate professor
Author: Sonja Djudjaj, Germany
Digital art
Info:
NDT history
From:
Sonja Djudjaj, Germany
PhD, Assistant Professor
Author: Sonja Djudjaj, Germany
Drawing
Info:
Water color kidney
From:
Sonja Djudjaj, Germany
PhD, Assistant Professor
Author: Mayleen Laico, Philippines
Digital art
Info:
Giving hope
From:
Mayleen Laico, Philippines
MD
Author: Maria Lucia Angelotti, Italy
Advanced microscopy
Info:
Representative image obtained by STED super-resolution microscopy, showing strong positivity for IgA deposits (orange) and a partial mild effacement of foot processes (stained with nephrin, cyan) in a biopsy of IgA nephropathy patient. The biopsy specimen underwent optical tissue clearing before staining.
From:
Maria Lucia Angelotti, Italy
PhD
Author: Miriam Buhl, Germany
Electron microscopy
Info:
Colorized transmission electron microscopy image of murine renal kidney cortex. Individual tubular segments are colored in green, blue and yellow, while a glomerular section is colored in red.
From:
Miriam Buhl, Germany
PhD
Author: Swetha Kanduri, USA
Urine & urine microscopy
Info:
Phase contrast image of cluster of calcium oxalate dihydrate crystals surrounding leukocytes
From:
Swetha Kanduri, USA
MD, Assistant Professor of Medicine
Author: Swetha Kanduri, USA
Urine & urine microscopy
Info:
Bright field image of cluster of calcium oxalate dihydrate crystals surrounding leukocytes
From:
Swetha Kanduri, USA
MD, Assistant Professor of Medicine
Author: Swetha Kanduri, USA
Urine & urine microscopy
Info:
Dark field image of cluster of calcium oxalate dihydrate crystals surrounding leukocytes
From:
Swetha Kanduri, USA
MD, Assistant Professor of Medicine
Author: Jay R. Seltzer, USA
Urine & urine microscopy
Info:
Red blood cell cast – brightfield with Sternheimer-Malbin stain – original magnification x1000 – from patient with anti-glomerular basement membrane disease
From:
Jay R. Seltzer, USA
MD, Chief of Nephrology
Author: Hélène Fank, Belgium
Histology
Info:
Secondary Toni-Debré-FANCONI syndrome – intracellular crystalline inclusions within proximal tubular epithelial cells
From:
Hélène Fank, Belgium
MD
Co-authors:
Antoine Bouquegneau, Christophe Bovy and Orphal Colleye
Author: Boonyarit Cheunsuchon, Thailand
Histology
Info:
Fibrinoid necrosis in a patient with ANCA-associated glomerulonephritis
From:
Boonyarit Cheunsuchon, Thailand
MD, Associate professor
Acknowledgements
NDT Kidney Art Editor:
Barbara Mara Klinkhammer, Germany
Also interested in submitting an image to NDT? Please contact ndt@era-online.org